Перейти к содержанию
Стоматология для всех

Лечение кисты (много снимков)


КМС

Рекомендуемые сообщения

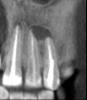
При прохождении КТ в 2011 г .была выявлена киста в области 21-21 зуба.

В 2003 году была проведена операция по резекции верхушки корней данных зубов, в 2008 году каналы зубов были заново перелечены и усилены металлическими штифтами. При наращивании коронковой части зубов 21-22 терапевт удлинил зубы вследствие чего на них увеличилась нагрузка и доставила дискомфорт.

Я обратился в несколько стоматологических клиник к квалифицированным врачам, мнения по лечению разделились.

1. 32 дент Академическая, ул. Винокурова, д. 2 Чепиков Сергей Сергеевич Врач ортопед, хирург

предложил обратиться к терапевту с закладыванием лекарство в каналы

2. 32 дент . Кузьминки, Волгоградский проспект, д.116, к. 1 Петросян Сергей Владимирович Врач стоматолог-терапевт. посмотрев снимки сказал, что все каналы хорошо запломбированы и предложил обратиться к хирургу

Воронину Ростиславу Викторовичу для проведения операции по подсадке искусственной костной ткани в области кисты.

3. Канадская стоматология известный стоматолог-имплатнолог блоггер Станислав Васильев http://stsvv.livejournal.com/ предложил сделать резекцию.

В трех случаях были получены самые разные варианты лечения ,побродив по стоматологическим форумам я узнал что образование кисты, это естественная реакция костной ткани на попаданием микробов вследствие плохо пролеченных каналов,но кроме этого может возникать из-за повышенной нагрузки на зубы.

Я решил получить консультации у эндодонтистов, которые практикуют лечение каналов зубов под микроскопом.

Отправил снимки по электронной почте и получил следующие ответы:

1.Илья Яковлевич Мер Стоматология "Да Винчи" "Судя по снимку который вы прислали могу предположить, что воспалительные измемения связаны с одним из зубов. К сожалению распознать гистологическое строение по рентгеновскому снимку невозможно, поэтому, строго говоря, диагноз "киста" поставить нельзя. Необходимо определить причинный зуб и провести ревизию корневого канала. Стандартная обработка + гидроксид кальция на 2-4 недели. Постоянная обтурация в пределах корневого канала и рентгенологическое наблюдение через полгода, год и два года. При отсутствие динамики заживления - операция резекции с ретроградной пломбировкой канала."

2. Ребриев Евгений Юрьевич, Российское Общество Дентальной Микроскопии " Причина данного поражения, находиться в корневом канале. Пока не будет устранена причина, трудно ожидать заживления . Обратите внимание, что заживление, с большой долей вероятности, может наступить и без хирургических вмешательств.

План лечения выглядит так:

1.Перелечивание 21 и 22 зубов.

2.Наблюдение 6 месяцев, через 6 месяцев Рг и далее по результатам Рг:

а. все зажило и все довольны.

б. не увеличилось - наблюдаем дальше

в. увеличилось - только теперь, через 6 месяцев хирургия.

Есть определенные сложности с лечением 21 зуба: т.к. ранее проведена резекция и вследствии этого отсутствует(отрезали вместе с верхушкой) так называемая констрикция(анатомическое суженние канала), т.е. получить надежную герметизацию традиционными методиками пломбировки практически невозможно, лечение лучше выполнить под микроскопом.

"Возможно ли сразу же после осуществления эндодонтического лечения начать ортодонтическое лечение" - принципиально"Да", однако необходима консультация для более корректного ответа на этот вопрос."

3. Васина Марина Николаевна "TBI Company Фирера Г.А." http://www.tbistomatology.ru/index.html на очном приеме пояснила, что не видит основания для перелечивания каналов, поскольку зубы состоят практически из пломб и металлических штифтов при ревизии канала придется "обсверливать штифты" и "от зубов ничего не останется", посмотрев снимки отправила меня к ортодонту Демус Анастасии Викторовне, которая предложила поставить брекеты только на верхнюю челюсть , без предварительного эндодонтического лечения, меня это очень сильно удивило, поскольку ранее врач-ортодонт стоматологической клиники "32 Дент" Табахова Ольга Валентиновна категорически отказалась ставить брекеты на зубы с кистами , поскольку прогноз лечения выглядел крайне неблагоприятно.

 

 

 

Что собственно делать?

post-23088-0-05077900-1320069184_thumb.jpg

post-23088-0-85945100-1320069186_thumb.jpg

post-23088-0-44942700-1320069187_thumb.jpg

post-23088-0-08601700-1320069188_thumb.jpg

post-23088-0-77081900-1320069268_thumb.jpg

Ссылка на комментарий

Для публикации сообщений создайте учётную запись или авторизуйтесь

Вы должны быть пользователем, чтобы оставить комментарий

Создать аккаунт

Зарегистрируйте новый аккаунт в нашем сообществе. Это очень просто!

Регистрация нового пользователя

Войти

Уже есть аккаунт? Войти в систему.

Войти
×
×
  • Создать...
Вверх