LenaSpb Опубликовано 24 сентября, 2007 Поделиться Опубликовано 24 сентября, 2007 В дек.2006 отвалился кусочек нижнего левого 6 зуба под пломбой в области контакта с 7кой, до этого там застревала пища. В февр.2007 в ниж.лев.6ке ощущалась боль при накусывании Соответствующий участок ортопантограммы (февр.2007) до лечения выложен по адресу: http://photofile.ru/users/lena-spb/3105329/65626972/ Через 3 месяца (апр.2007) мне его пломбировали. Удаляли ли мне тогда часть пульпы, было ли кровотечение, или даже до пульпы не дошли, я не знаю. При обработке полости была тень сомнения у стоматолога: "может быть, здесь придется нерв удалять… нет, пожалуй, можно оставить" Несмотря на анестезию ультракаином дс, при обработке полости я разве что не выла, чувствуя почти все манипуляции внутри той части зуба, которая ближе к контакту с 7. Стоматолог сказала, что такая чувствительность зуба говорит в пользу того, что лечение пройдет успешно и нерв удалять не придется. Итак, зуб запломбировали, сказали наблюдать. Ощущения сразу после пломбирования и до сих пор (не менялись): Чувствительность при надавливании на участок (четвертинку) жевательной поверхности зуба, который ближе к 7 и к языку. При накусывании совсем без пищи - боль и ощущение легкого хруста где-то в зубе. Зуб реагирует на холодное легким болезненным ощущением (даже не болью), которое проходит через 2-3 секунды после убирания холодного (если резко набрать в рот очень холодной воды, а через некоторое время выплюнуть ее, то ощущения в этом зубе заметно отличаются от ощущений во всех прочих зубах). Зуб реагирует на горячее легким болезненным пульсирующим ощущением, которое проходит через примерно 1 секунду после убирания горячего. Сам по себе зуб не болит ни в какое время суток, если его не трогать и не жевать им твердую пищу. Цвет зуба нормальный, не изменился Прицельный снимок, сделанный через 4 месяца после пломбирования выложен по адресу: http://photofile.ru/users/lena-spb/3105351/65625304 Хотелось бы снова обрести способность безболезненно жевать твердую пищу и на левой стороне. Но по возможности сохранить зуб живым. Глубокоуважаемые специалисты, можете ли Вы оценить по перечисленным симптомам, Каковы шансы того, что можно сохранить жизнеспособность пульпы? Можно ли до вскрытия полости зуба оценить состояние пульпы - живая? Некротизированная? Есть микробы? воспаление? Отек? Есть ли смысл сделать еще какую-то диагностику? Какую? Каковы этапы лечения, нацеленного на сохранение жизнеспособности пульпы? Сколько требуется посещений стоматолога и каковы промежутки между визитами? Через какое время можно было бы считать, что лечение прошло успешно? Спасибо. Ссылка на комментарий
NataLee Опубликовано 25 сентября, 2007 Поделиться Опубликовано 25 сентября, 2007 Глубокоуважаемые специалисты, можете ли Вы оценить по перечисленным симптомам, Каковы шансы того, что можно сохранить жизнеспособность пульпы? Можно ли до вскрытия полости зуба оценить состояние пульпы - живая? Некротизированная? Есть микробы? воспаление? Отек? Есть ли смысл сделать еще какую-то диагностику? Какую? Каковы этапы лечения, нацеленного на сохранение жизнеспособности пульпы? Сколько требуется посещений стоматолога и каковы промежутки между визитами? Через какое время можно было бы считать, что лечение прошло успешно? Спасибо. Здравствуйте! Если отвечать по порядку... 1) Шансы на жизнеспособность пульпы (удастся ли её сохранить) трудно оценить в процентах. Я бы сказала - средние. Или низкие. 2) До раскрытия полости зуба можно оценить состояние пульпы методами холодовой пробы и электроодонтометрии. Но оба эти метода достаточно условны и позволяют внятно отличить только живую пульпу от неживой. Есть ли в пульпе микробы - нет. Вообще реакция пульпитного зуба на какие-либо раздражители зависит от многих факторов: вида пульпита, индивидуальной чувствительности, и т.д. 3)Основные методы диагностики уже были перечислены: осмотр, холодовая проба, ЭОД (редко проводится), перкуссия, Rg. Всё было сделано. 4,5,6)Этапы лечения. Если Вы хотите сохранить зуб "живым", надо снять данную пломбу, установить на проекцию рогов пульпы к-либо кальцийсодержащий препарат (Каласепт, Кальцимол, и т.п.) и установить временную пломбу из СИЦ (стеклоиономерный цемент). И посмотреть на реакцию зуба. Если неприятные ощущения продолжаются - всё, удаление нерва. Если в течение месяца всё нормально - снимаем временную пломбу, меняем на постоянную. Но надо иметь в виду, что лечение это тоже достаточно условное, а требует реальных денег и времени. Зуб нужно будет наблюдать минимум раз в полгода после такого лечения. Но если для Вас попытка не пытка, попробуйте... Удачи. Ссылка на комментарий
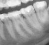
Эльза Опубликовано 25 сентября, 2007 Поделиться Опубликовано 25 сентября, 2007 А можно и я спрошу? Пальцы-то чешутся еще со вчерашнего дня На этих сниках есть уменьшение размеров пульпарной камеры вот в этом самом проблемном зубе или нет? Ну ведь правда есть? Ссылка на комментарий
NataLee Опубликовано 25 сентября, 2007 Поделиться Опубликовано 25 сентября, 2007 А можно и я спрошу? Пальцы-то чешутся еще со вчерашнего дня На этих сниках есть уменьшение размеров пульпарной камеры вот в этом самом проблемном зубе или нет? Ну ведь правда есть? Ну правда есть Умная Эльза, наблюдательная Эльза, почти что врач Эльза... Можно расценить это как признак хронического пульпита... Ссылка на комментарий
Ivansio Опубликовано 25 сентября, 2007 Поделиться Опубликовано 25 сентября, 2007 А можно я идиотский вопрос задам? А в чем глубинный смысл сохранения пульпы в подобной ситуации? Чтобы потом думать, заболит зуб или будет жить дальше? Ссылка на комментарий
NataLee Опубликовано 25 сентября, 2007 Поделиться Опубликовано 25 сентября, 2007 А можно я идиотский вопрос задам? А в чем глубинный смысл сохранения пульпы в подобной ситуации? Чтобы потом думать, заболит зуб или будет жить дальше? Ну, поскольку часто сами стоматологи говорят, что "живой зуб лучше мёртвого" (т.е. прочнее, долговечнее и т.д.), у пациентов и возникает заинтересованность в сохранении витальности зуба... Как я понимаю... Ссылка на комментарий
Ivansio Опубликовано 25 сентября, 2007 Поделиться Опубликовано 25 сентября, 2007 Ну, поскольку часто сами стоматологи говорят, что "живой зуб лучше мёртвого" (т.е. прочнее, долговечнее и т.д.), у пациентов и возникает заинтересованность в сохранении витальности зуба... Как я понимаю... Мне, как человеку, у которого до 2001 года ни один больной зуб без пульпита не обходился, этого стремления не понять... А такие выводы разве можно делать в отрыве от масштаба бедствия в конкретном зубе? Ссылка на комментарий
Doc Опубликовано 25 сентября, 2007 Поделиться Опубликовано 25 сентября, 2007 Ну, поскольку часто сами стоматологи говорят, что "живой зуб лучше мёртвого" (т.е. прочнее, долговечнее и т.д.), у пациентов и возникает заинтересованность в сохранении витальности зуба... Как я понимаю... Как раз на прошлой неделе пришлось реально выдержать битву по телефону с возмущенной пациенткой, которая почему-то считала, что оставив зуб живым под коронкой мы совершили преступление. Она кричала в трубку, что "ВСЕ НОРМАЛЬНЫЕ СТОМАТОЛОГИ ЗНАЮТ, ЧТО ЗУБЫ ПОД КОРОНКИ НУЖНО УБИВАТЬ". Если бы не название клиники, я бы просто трубку бросил и все. Все-таки имя обязывает отвечать вежливо даже таким пациентам... Ссылка на комментарий
Elena_R Опубликовано 25 сентября, 2007 Поделиться Опубликовано 25 сентября, 2007 Как раз на прошлой неделе пришлось реально выдержать битву по телефону с возмущенной пациенткой, которая почему-то считала, что оставив зуб живым под коронкой мы совершили преступление. Она кричала в трубку, что "ВСЕ НОРМАЛЬНЫЕ СТОМАТОЛОГИ ЗНАЮТ, ЧТО ЗУБЫ ПОД КОРОНКИ НУЖНО УБИВАТЬ". Если бы не название клиники, я бы просто трубку бросил и все. Все-таки имя обязывает отвечать вежливо даже таким пациентам... мда... плоды воспитания "нормальными стоматологами". Мне более 10 лет назад удалось выиграть битву, чтобы зуб оставили живым под коронкой... при этом доктор наверняка думал, что я ненормальная, плюнул и поставил, чтобы отделаться. Интересно, как он сейчас-то ставит? в то же время посоветовал оставить зуб живым тоже врач, только терапевт, не сама же я придумала.. это я к тому, что все мы, пациенты, когда-либо посещавшие стоматологов уже являемся продуктами их воспитания..) Р.S. Хотя кричать, да еще в трубку, это, безусловно, моветон Ссылка на комментарий
Рекомендуемые сообщения
Для публикации сообщений создайте учётную запись или авторизуйтесь
Вы должны быть пользователем, чтобы оставить комментарий
Создать аккаунт
Зарегистрируйте новый аккаунт в нашем сообществе. Это очень просто!
Регистрация нового пользователяВойти
Уже есть аккаунт? Войти в систему.
Войти