Перейти к содержанию
Стоматология для всех

Переход к другому врачу для продолжения лечения


impress

Рекомендуемые сообщения

Добрый день, я уже обращался на этот форум http://forum.stom.ru/index.php?showtopic=13421

 

Страшно карю себя за то, что сразу не перешел к другому врачу когда написал вам 1-й раз, все надеялся на то, что врач прислушается и начнет лечение в нужном русле.

Теперь прошу вас посоветовать мне толкового врача для перелечивания!

У своего врача я больше не могу продолжать лечение! Потому что я понял, что ни каких особых подвижек в лечении нет, да и надоело каждый раз врачу говорить одно и тоже, на что он закрывает глаза!! Он прям как золотая антилопа от меня отбрыкиваеться своим золотым копытцем =)). Последнее что он мне сказал что будет меня продолжать лечить только в том случае, если я принесу подтвержденное заключение по моему прикусу у другого специалиста, хотя я с ним хотел поговорить чисто по-человечески о том, что меня не устраивает! Деньги возвращать за незавершенное лечение тоже не хочет (на ресепшене не могут назвать сумму возврата)! Да и сделать выписку из карты клиника тоже не горит желанием! Все ссылаются на бюррократию, мол сначала заявление с приложенной копией договора, а это заявление должен завизировать их босс.

Если кто сталкивался с таким прошу вас написать как разруливали такую ситуацию.

 

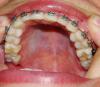
фотографии с прикусом на данный момент времени прикладываю.

 

Буду очень признателен если еще напишите примерную стоимость перелечивания.

post-11949-1315141880_thumb.jpg

post-11949-1315141887_thumb.jpg

post-11949-1315141892_thumb.jpg

post-11949-1315141897_thumb.jpg

post-11949-1315141904_thumb.jpg

post-11949-1315141910_thumb.jpg

post-11949-1315141918_thumb.jpg

post-11949-1315141923_thumb.jpg

post-11949-1315141928_thumb.jpg

Изменено пользователем impress
Ссылка на комментарий

Для публикации сообщений создайте учётную запись или авторизуйтесь

Вы должны быть пользователем, чтобы оставить комментарий

Создать аккаунт

Зарегистрируйте новый аккаунт в нашем сообществе. Это очень просто!

Регистрация нового пользователя

Войти

Уже есть аккаунт? Войти в систему.

Войти
×
×
  • Создать...
Вверх