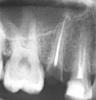
Amy Опубликовано 23 августа, 2011 Поделиться Опубликовано 23 августа, 2011 Уважаемые стоматологи!Возможно ли в данном случае поставить коронку на уцелевший корень? Ссылка на комментарий
pawa Опубликовано 23 августа, 2011 Поделиться Опубликовано 23 августа, 2011 (изменено) Нужно смотреть во рту, сколько там ещё кариеса осталось, но мало вероятно, что получится.если длина корня позволит сделать удлиннение наддесневой части, то можно. Изменено 23 августа, 2011 пользователем pawa Ссылка на комментарий
Bier Опубликовано 23 августа, 2011 Поделиться Опубликовано 23 августа, 2011 лучше вытянуть ортодонтически тогда уж. Это если очень хочется сохранить зубик. Ссылка на комментарий
Doc Опубликовано 24 августа, 2011 Поделиться Опубликовано 24 августа, 2011 Уважаемые стоматологи!Возможно ли в данном случае поставить коронку на уцелевший корень? Теоретически можно, но гарантий никаких, а по стоимости получится больше, чем половина стоимости имплантата. В результате можно выбрать между двумя вариантами: Чуть дешевле и без всяких гарантий (с последующей переделкой на имплантат), либо подороже, но с пожизненной гарантией на имплантат и минимум лет десять на коронку. Зависит от Ваших финансовых возможностей и потребности сохранить зуб ЛЮБОЙ ценой. Окончательное решение за тем доктором, который будет изготавливать данную конструкцию, после осмотра зуба в полости рта. Ссылка на комментарий
Amy Опубликовано 25 августа, 2011 Автор Поделиться Опубликовано 25 августа, 2011 большое спасибо за ответы)Нужно смотреть во рту, сколько там ещё кариеса осталось, но мало вероятно, что получится.если длина корня позволит сделать удлиннение наддесневой части, то можно.удлинить наддесневую часть - имеете в виду ортодонтически тоже? Ссылка на комментарий
Bier Опубликовано 25 августа, 2011 Поделиться Опубликовано 25 августа, 2011 удлинить наддесневую часть - имеете в виду ортодонтически тоже?есть 2 варианта1 - обрезать десну над зубом 2 - вытянуть зуб из десны. 2й способ на мой взгляд лучше, но более замороченный чем первый. Ссылка на комментарий
Doc Опубликовано 25 августа, 2011 Поделиться Опубликовано 25 августа, 2011 есть 2 варианта1 - обрезать десну над зубом 2 - вытянуть зуб из десны. 2й способ на мой взгляд лучше, но более замороченный чем первый. Зато более грамотный со всех сторон. Ссылка на комментарий
Рекомендуемые сообщения
Для публикации сообщений создайте учётную запись или авторизуйтесь
Вы должны быть пользователем, чтобы оставить комментарий
Создать аккаунт
Зарегистрируйте новый аккаунт в нашем сообществе. Это очень просто!
Регистрация нового пользователяВойти
Уже есть аккаунт? Войти в систему.
Войти