Перейти к содержанию
Стоматология для всех

Можно ли спасти зуб?


sas01

Рекомендуемые сообщения

Всем добрый день.

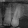
Прошу квалифицированного совета. Ситуация такая – заболел верхний клык (13), появился на десне отек. Пошел к стоматологу. Сделали панорамный снимок (фрагмент «13 до вскрытия» выкладываю). При осмотре был обнаружен кариес под десной, стали сверлить, но после вскрытия врач сказал, что необходимо удалить нерв, что и было сделано, после этого был сделан прицельный снимок, после чего мне было сказано, что зуб сохранить нельзя, что там какая-то трещина, что он как яичная скорлупа в общем только удаление и имплантация. После этого была поставлена временная пломба и канал оставлен не пломбированным. Удалять его мне совсем не хочется, т.к 14 тоже нет, а 12 отсутствуют от рождения. Чтобы определиться решил сходить на консультацию в другую клинику. После осмотра врач сделал прицельный снимок («13 после вскрытия») и выслушав всю эту историю, сказала, что не видит ни каких особых патологий, но сама браться за этот зуб не будет, объясняя тем, что с того места, где стоит пломба невозможно прочистить канал, и что при вскрытии может что-то обнаружиться, возможно даже врачебная ошибка, поэтому возможно мне и было предложено удаление с последующей имплантацией. Посоветуйте есть ли шансы вылечить и сохранить этот зуб, т. к. он побаливает и не проходит отек десны.

post-10769-1312822967_thumb.jpgpost-10769-1312822951_thumb.jpg

Изменено пользователем sas01
Ссылка на комментарий

надо таки вскрывать зуб и смотреть есть ли трещина. Учитывая отек на десне и глубину кариозной полости, можно предположить, что зуб не спасти уже. Но одного снимка недостаточно для того, чтобы это утверждать.

Ссылка на комментарий

Для публикации сообщений создайте учётную запись или авторизуйтесь

Вы должны быть пользователем, чтобы оставить комментарий

Создать аккаунт

Зарегистрируйте новый аккаунт в нашем сообществе. Это очень просто!

Регистрация нового пользователя

Войти

Уже есть аккаунт? Войти в систему.

Войти
×
×
  • Создать...
Вверх