Nafania Опубликовано 17 мая, 2011 Поделиться Опубликовано 17 мая, 2011 Подскажите, пожалуйста, что это такое может быть, а то не знаю уже, что и думатьГод назад после достаточно длительного воспалительного процесса была удалена верхняя правая шестерка. В сентябре прошлого года проведены за одно посещение выполнены закрытый синус лифтинг, подсадка графтинга, установка импланта. Через 6 месяцев (в марте этого года) сказали, что все прекрасно и можно делать коронку. 10 дней назад поставили коронку - и начались проблемы. Болит голова, болит место импланта, за неделю по цепной реакции начали болеть все передние верхние зубы, начиная с "4", которая ближе всего к импланту (все "5" удалены 10 лет назад для брекетов), и заканчивая левой верхней "3". Субъективные ощущения - как будто зубы сдвигаются , но не равномерно, а как будто наклоняются от импланта. Какие-то доли миллиметров - посторонний человек и не заметит. Вчера трое докторов вместе стояли - не могли понять, в чем дело. Сказали контакт импланта с зубом ("4") минимальный и не должен он оказывать влияние на остальные зубы. Предложили сделать ретейнеры со слепка, который для импланта делали. Сегодня утром обнаружила трещины на всех передних зубах Завтра опять иду ко врачу. Что это может быть? Что делать? Спасибо, что дочитали. Ссылка на комментарий
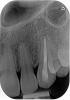
Nafania Опубликовано 18 мая, 2011 Автор Поделиться Опубликовано 18 мая, 2011 Сегодня сняли коронку, опять качали головами, что коронка хорошая, головные боли не от нее и зубы подвинутся не могли. Субъективно сразу стало лучше. Меня очень беспокоят трещины на зубах (сильно заметны при ярком солнце, снять фото пока не удалось). Сделали снимки передних верхних зубов - сказали все нормально , но меня беспокоит один зуб. Уважаемые врачи, прокомментируйте, пожалуйста, есть ли повод для беспокойства Здесь снимок трещин (правда не все видны, их гораздо больше ) и коронки - на месте "5". Ссылка на комментарий
Bier Опубликовано 19 мая, 2011 Поделиться Опубликовано 19 мая, 2011 по интернету с вашими жалобами не разобраться. Надо очно смотреть. Ссылка на комментарий
Arthman Опубликовано 19 мая, 2011 Поделиться Опубликовано 19 мая, 2011 Вряд ли трещины на передних зубах связаны с коронкой. Ссылка на комментарий
Nafania Опубликовано 19 мая, 2011 Автор Поделиться Опубликовано 19 мая, 2011 (изменено) От трещин в эмали мне порекомендовали использовать мусс GC и сказали, что трещины есть у всех. А вопрос количества - дело субъективное. Хотя я и остаюсь при своем мнении, что коронка "добавила" это количество . Подскажите, пожалуйста, есть ли повод к беспокойству за передние зубы на основании рентгеновских снимков? Мне сказали, что все нормально (разговор велся по-английски - и здесь все всегда - нормально). Но при проверке (не уверена как называется точно - когда в чем-то смоченный кусочек марли прикладывают к зубам) один зуб реагировал не сразу, как остальные, а с примерно 4-секундной задержкой. (Справедливости ради надо сказать, что этот зуб некоторое время назад стал темнее, чем другие) Внизу снимок импланта и "3" до установки коронки. В верхнем сообщении - снимки после установки.И еще вопрос (прошу прощения, если уже задавался раньше, но весь форум я прочитать пока не успела). КАК пациенту определить что коронка "правильная"? В моем случае, как определить "правильность" контакта с соседними зубами? У меня это первый опыт, мне сказали, что несколько дней может идти привыкание - и я честно ждала А внешне - все выглядело почти прекрасно...Теперь жалею... Надо было на следующий же день снимать...Сейчас стоит "healing" абатмент, и зубы явно "подвинулись" назад, головные боли прошли! Честно сказать, боюсь опять ставить коронкуИзвините, очень много написала. Спасибо, что дочитали. Изменено 19 мая, 2011 пользователем Nafania Ссылка на комментарий
praktik Опубликовано 30 мая, 2011 Поделиться Опубликовано 30 мая, 2011 Возможно головные боли связаны с повышенной нагрузкой на эту коронку при каком-то положении нижних зубов к верхним( попытался написать доступным языком), попросите сделать временную коронку на постоянный абатмент и посмотрите в динамике, тем более что раньше было ортодонтическое лечение. А трещины в эмали можно пробовать устранить с помощью реминерализующей терапии. Ссылка на комментарий
Рекомендуемые сообщения
Для публикации сообщений создайте учётную запись или авторизуйтесь
Вы должны быть пользователем, чтобы оставить комментарий
Создать аккаунт
Зарегистрируйте новый аккаунт в нашем сообществе. Это очень просто!
Регистрация нового пользователяВойти
Уже есть аккаунт? Войти в систему.
Войти