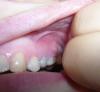
Аиша Опубликовано 31 июля, 2010 Поделиться Опубликовано 31 июля, 2010 Здравствуйте! У меня воспалилась десна, с гнойными точками, я в то время была в Турции. Врач сказал что нужно полоскать рот антисептиком и всё пройдет. Через 5 дней все действительно прошло. Через пару недель снова десна надулась, образовалась шишка. Я полоскала Лесным бальзамом (против кровоточивости десен, против воспаления). Сейчас я в Тайланде, и пару недель назад снова надулась шишка с гноем, зуб одну ночь очень сильно болел, но утром прошло. Сейчас зуб не болит (левая верхняя шестерка) но десна надутая и там есть гной. Зуб с пломбированными каналами. Нервы там кажется удалили. В аптеке дали Kamillosan M в виде спрея, не помогает. Я пошла к тайскому врачу, сделали снимок - сказали что надо вскрывать пломбу, все заново вычищать - возможно что там остались какие-то посторонние частички металла, или что-то другое. Лечение очень дорогое - 12-14 тыс.руб. Или надо удалять а то возможен абсцесс. Если б я была в России, то это намного проще - там и цены не такие дикие, и врача можно понять отлично так как на родном языке говорит. Но в Россию я поеду не скоро, поэтому проблему надо решать здесь. И очень нужна консультация русских врачей, вот снимки десны и зуба. Пожалуйста, буду вам очень благодарна. Ссылка на комментарий
айка Опубликовано 31 июля, 2010 Поделиться Опубликовано 31 июля, 2010 Снимок очень плохой, размытости какие-то. Советовать особо нечего, если можете по деньгам- лечите, если нет, удаляйте, все равно в Россию не скоро, а без лечения оставлять не стоит. Ссылка на комментарий
Aldo Rain Опубликовано 31 июля, 2010 Поделиться Опубликовано 31 июля, 2010 Пусть вам сделают разрез по десне, гной выйдет,пейте антибиотики и делайте полоскания,по приезду в Россию решите проблему Ссылка на комментарий
Salma Опубликовано 2 августа, 2010 Поделиться Опубликовано 2 августа, 2010 Пусть вам сделают разрез по десне, гной выйдет,пейте антибиотики и делайте полоскания,по приезду в Россию решите проблему +1После разреза должно полегчать, если не поможет или даляйте или лечите в зависимосте от фин возможностей. Если же поможет, то в России определяйтесь с зубом. А снимок действительно плохой, сложно понять. Ссылка на комментарий
Аиша Опубликовано 2 августа, 2010 Автор Поделиться Опубликовано 2 августа, 2010 (изменено) спасибо за ответы! ездила в другой госпиталь - который посоветовала страховая компания - тайский врач сказал что в зубе штифт, и слишком большого размера - из-за этого началось воспаление. а разрезать десну нет смысла, так как инфекция внутри зуба находится и гной будет постоянно появляться. предложила вскрыть, убрать штифт (4000 бат), снова почистить каналы(11000 бат), поставить штифт поменьше(4800 бат), и поставить коронку(16000 бат). насчитали 36 тысяч бат (бат почти равен рублю). на все потребуется 7 визитов к врачу, примерно 2 месяца. либо второй вариан - удалить за 1500 бат. Вот завтра поеду в другую клинику. Все эти дни полоскала содой-солью, бальзамом, антисептиком и прилаживала к десне имбирь (посоветовали). вроде получше стало. думаю вообще так оставить, гной все меньше и меньше. До весны если так оставить? хотя десна без гноя но все еще мягкая. Изменено 2 августа, 2010 пользователем Аиша Ссылка на комментарий
Aldo Rain Опубликовано 2 августа, 2010 Поделиться Опубликовано 2 августа, 2010 спасибо за ответы! ездила в другой госпиталь - который посоветовала страховая компания - тайский врач сказал что в зубе штифт, и слишком большого размера - из-за этого началось воспаление. а разрезать десну нет смысла, так как инфекция внутри зуба находится и гной будет постоянно появляться. предложила вскрыть, убрать штифт (4000 бат), снова почистить каналы(11000 бат), поставить штифт поменьше(4800 бат), и поставить коронку(16000 бат). насчитали 36 тысяч бат (бат почти равен рублю). на все потребуется 7 визитов к врачу, примерно 2 месяца. либо второй вариан - удалить за 1500 бат. Вот завтра поеду в другую клинику. Все эти дни полоскала содой-солью, бальзамом, антисептиком и прилаживала к десне имбирь (посоветовали). вроде получше стало. думаю вообще так оставить, гной все меньше и меньше. До весны если так оставить? хотя десна без гноя но все еще мягкая. у вас на десне сформировался свищевой ход, при повторном воспалении весь гной будет выходить через него, можно будет обходиться без антибиотиков, просто полоскания. На мой взгляд зуб лучше удалить сейчас, к весне уже все заживет, приедите и поставите имплантат, так будет надежнее, но Вам решать... Ссылка на комментарий
Maximvs Опубликовано 2 августа, 2010 Поделиться Опубликовано 2 августа, 2010 спасибо за ответы! ездила в другой госпиталь - который посоветовала страховая компания - тайский врач сказал что в зубе штифт, и слишком большого размера - из-за этого началось воспаление. а разрезать десну нет смысла, так как инфекция внутри зуба находится и гной будет постоянно появляться. предложила вскрыть, убрать штифт (4000 бат), снова почистить каналы(11000 бат), поставить штифт поменьше(4800 бат), и поставить коронку(16000 бат). насчитали 36 тысяч бат (бат почти равен рублю). на все потребуется 7 визитов к врачу, примерно 2 месяца. либо второй вариан - удалить за 1500 бат. Вот завтра поеду в другую клинику. Все эти дни полоскала содой-солью, бальзамом, антисептиком и прилаживала к десне имбирь (посоветовали). вроде получше стало. думаю вообще так оставить, гной все меньше и меньше. До весны если так оставить? хотя десна без гноя но все еще мягкая.Конечно, в России цены поменьше, чем в вашем последнем сообщении, но и не меньше чем в первом. Если обострения на этом зубе неоднократные , то возможно смысла за него бороться и нет (ибо очень дорого лечение и прогноз не 100%) Может есть смысл подумать об удалении и имплантации (это уже в России) А снимок получше у Вас есть? Ссылка на комментарий
Рекомендуемые сообщения
Для публикации сообщений создайте учётную запись или авторизуйтесь
Вы должны быть пользователем, чтобы оставить комментарий
Создать аккаунт
Зарегистрируйте новый аккаунт в нашем сообществе. Это очень просто!
Регистрация нового пользователяВойти
Уже есть аккаунт? Войти в систему.
Войти