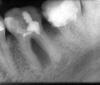
Kolobok Опубликовано 29 марта, 2010 Поделиться Опубликовано 29 марта, 2010 Здравствуйте! Два года назад был пульпит 7 нижнего зуба. 9 месяцев назад стал болеть от горячего.Пошел к врачу, сделали рентген, со слов врача пустые каналы. 3 раза закладывали какое-то лекарство, ходил неделю с временной пломбой, потом как сказал врач были запломбированы каналы, поставлена постоянная пломба.3 месяца назад делал рентген другого зуба (нижний 6), посокльку он болел. 7 зуб сейчас никак не беспокоит, но есть вопрос: хорошо ли запломбированы в нем каналы ? Ссылка на комментарий
Vareнька Опубликовано 29 марта, 2010 Поделиться Опубликовано 29 марта, 2010 (изменено) Здравствуйте! Два года назад был пульпит 7 нижнего зуба. 9 месяцев назад стал болеть от горячего.Пошел к врачу, сделали рентген, со слов врача пустые каналы. 3 раза закладывали какое-то лекарство, ходил неделю с временной пломбой, потом как сказал врач были запломбированы каналы, поставлена постоянная пломба.3 месяца назад делал рентген другого зуба (нижний 6), посокльку он болел. 7 зуб сейчас никак не беспокоит, но есть вопрос: хорошо ли запломбированы в нем каналы ?Ни на одном из Ваших снимков я не вижу качественной пломбировки каналов. Изменено 29 марта, 2010 пользователем Vareнька Ссылка на комментарий
Solnyshko Опубликовано 29 марта, 2010 Поделиться Опубликовано 29 марта, 2010 +1 Ссылка на комментарий
Ксения А Опубликовано 29 марта, 2010 Поделиться Опубликовано 29 марта, 2010 Необходимо перелечить корневые каналы у 6 и 7. Ссылка на комментарий
Рекомендуемые сообщения
Для публикации сообщений создайте учётную запись или авторизуйтесь
Вы должны быть пользователем, чтобы оставить комментарий
Создать аккаунт
Зарегистрируйте новый аккаунт в нашем сообществе. Это очень просто!
Регистрация нового пользователяВойти
Уже есть аккаунт? Войти в систему.
Войти