Активность
- Последняя неделя
-
@Carioznik , спасибо 🌸
-
Не критично, учитывая ваш протокол работы. Можно легко по снимку сделать красиво, но только вот за этой "красотой" может скрываться , например: работа без изоляции второй конусностью с перекисью и каким нибудь крезофеном под дентин пасту, а потом обурация методом одного штифта. Вы хорошо сделали, поэтому, вашем случае - поры не сыграют никакой роли.
-
Спасибо большое 🙂
-
Здравствуйте, если судить только по Rg, мне нравиться.
-
@сирена вот и завтра наступило) прощу прощения, что так долго, всё из головы вылетало на работе посмотреть. Пересадили в конце мая, к ортодонтии подключили в начале сентября ~3.5 месяца прошло с пересадки на тот момент.
-
-
АВА2018 подписался на Оцените качество пломбирования каналов в 25 зубе
-
Добрый день, коллеги. Оцените, пожалуйста, качество пломбировки каналов. Зуб 25 подготовка под коронку. В 1 посещение расширение до 35.04, временное пломбирование Кальцетином под временную пломбу IRM.Снимок не делала , так как у пациентки беременность 2 недели, гинеколог не разрешил делать рентгенологическое исследование. Во 2 посещение, во 2 триместр беременности снимок до лечения, с припасовкой гуттаперчевых штифтов и постоянная пломбировка методом латеральной конденсации. Очень смущают поры в верхней трети канала... Я добавила штифты, но снимок не стала делать добавочно, так как пациентка беременная...
- Ещё раньше
-
Все хорошо, что хорошо кончается!
-
medunitsa подписался на ПОЛУЧЕНИЕ ДОСТУПА В ЗАКРЫТЫЕ РАЗДЕЛЫ!
-
Спасибо за ответы. Нить моно, но пальпаторно ощущается уплотнение 20*3-4 мм. не болит. Ура! Вчера достала.Пришлось чуточку иглой расковырять. Ещё раз спасибо всем неравнодушным!
-
Вообще, по моему опыту, она через некоторое время вылазит. Пациентка как увидит хвостик, пусть придёт.
-
Спасибо за ответы. Нить моно, но пальпаторно ощущается уплотнение 20*3-4 мм. не болит.
-
Если нить монофиламент, то я бы не нервничал ни на Вашем месте, ни на месте пациентки Если плетенка - лучше достать. С внутрикожной ниткой ковырять лучше в середине разреза, а не по краям - тогда можно это делать не пинцетом, а иголкой, и поддеть нитку изнутри.
-
Sergey32132 подписался на Мост с металлокерамики на 3 зуба, каковы минусы и чего ждать ? Подскажите пожалуйста
-
Мост с металлокерамики на 3 зуба, каковы минусы и чего ждать ? Подскажите пожалуйста
Sergey32132 опубликовал тема в Протезирование
Добрый день. Зубы проблемные с детства очень сильно Полтора-два года назад предварительно удалось спасти не спасаемое, 26 и 27, по крайней мере по нескольких кт перидически, неплохой регресс и заживление костной ткани, даже в области 26 где было большое поражение фуркации, сейчас намного меньше, они не болят уже почти год, до этого очень долго болели даже после качественного лечения и врачи прогнозов не давали конечно же между 24-26 (25 нет уже лет 10) стоит адегизивный бабочка, уже не в самом лучшем состоянии, вернее зубы 24 26 не в очень хорошем, так вот я хотел снять бабочку и одеть на 24-26 металлокерамику, во рту есть несколько металлокерамик единичных, на 3 еще не ставил Есть вариант, и я послушал разных докторов, что можно было бы например 24 просто сделать реставрацию качественно, 26 там без вариантов покрыть коронкой единичной, а 25 имплантат, но я пока избегаю всего так сказать инвазивного, хотя бы еще полтора-два года, с начала 2024 и по середину 2025 болел очень тяжело, Лонг ковидом, это страшное явление которое врагу не пожелаю, возможно даже кто помнит мои темы что я у себя предполагал сепсис, вот именно у меня был он не в виде усталости какой и тд, что чаще всего, а в форме выраженного иммунодефицита + легкого но стойкого системного воспаления , по типу аутоиммунных реакций, в общем не будем вдаваться в эту тему, к тому же она не изучена еще, все только предстоит, спасибо лишь тем докторам-интузиастам, которые просто из спортивного интереса не забросили эту тему и занимаются исследованиями, при разных НИИ, в итоге они меня спасли, помогли определенные противовирусные на длительной основе поставить меня на ноги, что еще раз и том числе мой пример подтверждает вирусный генез Лонга, 1,5 жизни просто выпало у меня Ладно, я далеко ушел уже от темы, я к тому, что более современно наверное считается имплантат и 24 и 26 по отдельности, но повторюсь я боюсь пока лишних инвазивных процедур. Подскажите пожалуйста, каковы минусы моста с металлокерамики на 3 зуба, по каким причинам это считается прошлый век, и какие нюансы меня могут ждать ? Даже если те зубы я рано или поздно потеряю, но даже 3-4 года выиграть еще перед имплантацией, это все равно выигрыш Возможно я думал тот же мост на 3 но из циркония, но тоже не знаю, зубы те хоть и с положительной динамикой но сколько они еще простоят, а цирконий как никак в 2 раза дороже металлокерамики, но если лучше его, тогда рассмотрю -
Немного расковырять и достать
-
medunitsa подписался на Как достать ниточку?
-
При снятии внутрикожного шва после удаления атеромы в области щеки упустила кончик нити. Да, срезала оба узелка. А материал нерассасывающийся. Пациентка нервничает, я - тоже. Может, кто знает какую- нибудь хитрость?
-
@сирена Спасибо! ЕМНИП месяца через 2-3, но лучше уточню, завтра отвечу!
-
Болит зуб и воспаление на челюсти после как надкусил твердое
сирена ответил Sergey32132 тема в Терапия
Нет, это второй корень.- 2 ответа
-
- 1
-
-
Красиво. А через какое время начали перемещать?
-
Женька подписался на Аутотрансплантасьон
-
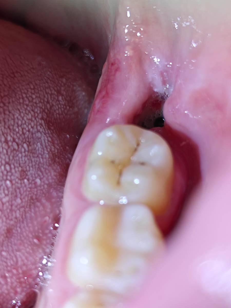
Всем привет, коллеги! 14 лет, терапевты ставят трещину по КТ (снимков до, к сожалению нет, косяк, каюсь). чуть сепарировав зуб и глянув на зуб под отлетевшим куском пломбы трещина "подтвердилась". Кейс на фото. Из интересного - маленький реколл в 1.5 года и спокойное перемещение зуба брекетами!
-
Болит зуб и воспаление на челюсти после как надкусил твердое
Sergey32132 ответил Sergey32132 тема в Терапия
апдейт: Сегодня пошел таки решил перелечить, правда врач с клиники где мне прошлые разы спасали не спасаемое, позвонили сказали что заболел, смог попасть в другую, здесь я первый раз, но тоже выбирал где есть микроскоп и работают с ним, трещины сегодня сказали не увидели, сегодня каналы а следующий раз реставрацию, но я сфоткал для себя снимок, и когда вышел уже обратил внимание на ход гуттаперчи в бок, подскажите пожалуйста, это судя по всему перфорация ? Если да, во всех ли случаях плохой прогноз ? -
Sergey32132 подписался на Болит зуб и воспаление на челюсти после как надкусил твердое
-
Добрый день. Подскажите пожалуйста, в прошлую пятницу ел арахис, аккуратно, с моими зубами противопоказано, как то чувствую что один твердый и я почувствовал несильную боль в области 1,4, и вот по сей день болит десна на протяжении с 1,4 и до 1,6 включительно, и немного напухшая, но не флюс, в области стыка зуб\десна тоже если трогать или давить пальцем воспалена, а вот в области 1,4 еще продолжаются ноющие ощущения, где то глубоко аж там в области верхушки, если давить на него не болит, стучать инструментом тоже не болит. Открыл послднее кт трех недельной давности, там где смотрели что другие зубы и далее заживают после эндо лечения, посмотрел на эти, вроде воспаления нет, но обратил внимание что на 1,4 каналы не доплобированы до верхушек, по памяти, они были запломбированы лет 12 назад, и никогда этот зуб не беспокоил Вот сегодня иду к стоматологу там где микроскоп, реставрацию все равно планово нужно делать, потихоньку занимаюсь зубами, но как быть с 1,4, с одной стороны нужно было бы пролечить 1,4 раз не до конца. с другой стороны каналы таковы уже более 10 лет, и вряд ли имеет отношение к моей проблема то что я прикусил твердое. 3 дня назад делал обычный снимок. уже после как прикусил. Подскажите пожалуйста, как быть, и какова тактика, это скорее травматический периодонтит ? Перед этим один из стоматологов сказал что если была бы трещина, зуб реагировал бы если по нем стучать или кусать и сильно
-
pwq подписался на АнтонТЛТ
-
Спасе большое за ответы, всё прошло со временем
- 4 ответа
-
- 2
-
-
Сделайте снимок, там видно будет. Вряд ли там что-то страшное.
- 4 ответа
-
- 1
-
-
удалять
-
Вадим232311 подписался на Поясните диагноз, пожалуйста
-
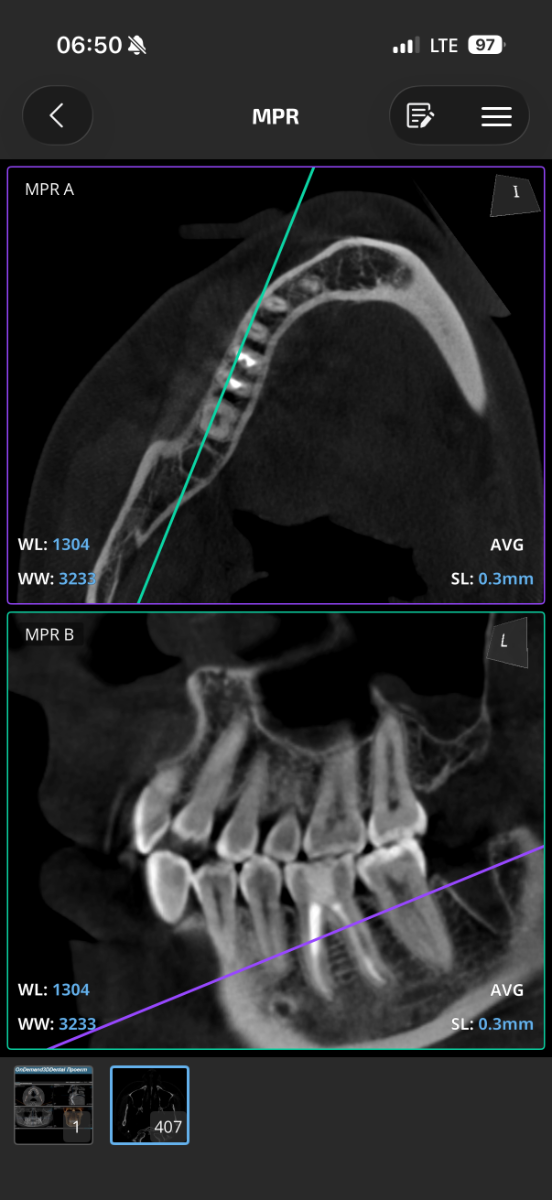
Добрый день, пожалуйста объясните что с зубом простыми словами, я если честно ничего не понял, там проблемы? Просто к стоматологу пойду через неделю только чтобы мне объяснили КТ, хочется сейчас узнать хоть что-то: 16 зуб эндодонтически лечен. Коронковая часть восстановлена рентгеноконтрастным материалом. Небный корень: канал широкий, обтурирован высококонтрастным материалом, верхушка корня не закрыта. Периапикально очаг деструкции костной ткани 4,5х4мм. запломбирован. Щёчно-медиальный корень – признаки дилацерации корня, канал запломбирован частично. Периапикально очаг деструкции 4х4мм Щёчно-дистальный корень: длина корня не более 4мм, в канале и за верхушкой корня определяется пломбировочный материал. Периапикально признаки деструкции костной ткани, очаг с нечеткими контурами. Жалоб на зуб вроде нет.. просто если очень долго вообще не жевать ничего или вообще челюстью не работать, при надкусывании чувствуется дискомфорт, но очень очень быстро проходит и больше не появляется